Lia Paiva conta que Diego teve uma infecção generalizada. Outros órgãos se recuperaram, como coração, rins e fígado, mas jovem teve um infarto pulmonar no quinto dia de internação e morreu.
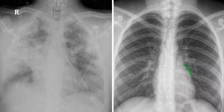
Do lado esquerdo, imagem do pulmão de Diego todo comprometido. Do lado direito, a imagem de um pulmão saudável. — Foto: Divulgação
O relato é de Lia Paiva, mulher do ex-jogador Serginho e mãe de Diego Paiva dos Santos, de 20 anos. O jovem morreu em 7 de agosto após um infarto pulmonar. Conhecido também como embolia pulmonar, a condição atrapalha a passagem de sangue do coração para o pulmão, comprometendo a oxigenação e podendo levar ao óbito.
Lia contou ao g1 que Diego machucou o ombro no jiu-jitsu. Primeiro, a família pensou que fosse apenas uma lesão. Ele fez um raio-X do ombro, ressonância, passou por um ortopedista e nada foi encontrado, só uma inflamação. Dias depois, ele voltou ao hospital porque a dor não parou.
“Ele foi ao hospital depois de muita briga. Meia hora depois ele estava intubado, com 46% de saturação, pulmão péssimo. Fizeram os exames e descobriram que era uma bactéria que entrou através de um furúnculo. Acreditamos que ele se contaminou no tatame e a bactéria ficou alojada no ombro. Ele entrou com quadro de choque séptico e foi para a UTI”, relata a mãe.
Segundo Lia, os médicos estavam otimistas com a recuperação do jovem.
“Em quatro dias, o fígado melhorou, o rim melhorou. O antibiótico estava fazendo efeito em todas as partes comprometidas, inclusive no coração. Mas faltava o pulmão. E aí viram que um pulmão já tinha ido e, na madrugada, ele teve o infarto pulmonar no outro pulmão e veio a óbito”.
Ela usou a imagem de um pulmão saudável (acima, esquerda, com tons mais escuros) para comparar com o pulmão do filho (acima, na direita, imagem esbranquiçada). “Ele nem pulmão tinha de tanta infecção”.
A mãe diz que o vape contribuiu para a morte do filho.
Fonte: G1





